Do You Need Tooth-Colored Restorations or Composite Dental Fillings in San Jose, CA?

Image
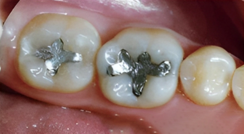
Before
Dental Bonding and Fillings in San Jose, CA - After Treatment
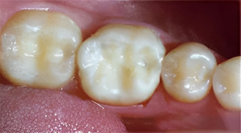
After

Many people are seeking dental restorations that look natural and blend seamlessly with their existing teeth. If you have decayed teeth, chipped teeth, or old silver fillings that you'd like to replace with a more aesthetically pleasing option, then composite dental bonding and fillings might be the perfect solution for you.

What are Composite Dental Fillings and Bonding?

Composite dental fillings, also known as tooth-colored fillings, are a popular choice for repairing cavities, cracks, chips, and other tooth imperfections. Unlike traditional silver fillings, which are easily noticeable, composite fillings are made from a tooth-colored resin material that is virtually indistinguishable from your natural teeth.

Dental Fillings in San Jose, CA - Before and After Treatment

The Benefits of Composite Dental Fillings

  • Natural Appearance: Composite fillings are designed to match the color of your surrounding teeth, ensuring a discreet and aesthetically pleasing restoration.
  • Preserve Tooth Structure: Compared to traditional fillings, composite fillings require less removal of healthy tooth structure, promoting long-term dental health.
  • Durable and Strong: Modern composite fillings are highly durable and can withstand moderate chewing pressure, making them suitable for both front and back teeth.

Why Choose Arbor Dental Group for Your Composite Dental Needs?

At Arbor Dental Group, our dentists, are dedicated to providing exceptional dental restorations using the latest advancements in technology. We offer a comfortable and welcoming environment where you can feel at ease while discussing your dental concerns.

Our composite dental services include:

  • Composite dental bonding: This minimally invasive procedure uses composite resin to repair minor cracks, chips, gaps, and other imperfections in teeth.
  • Composite tooth-colored fillings: These fillings offer a natural-looking and durable solution for restoring decayed or damaged teeth.

Contact Arbor Dental Group for Composite Dental Services

If you're looking for a dentist in San Jose, CA, who offers composite dental bonding and fillings, look at Arbor Dental Group. Contact us to schedule a consultation with us today to discuss your options and regain your confident, radiant smile!

New Patients & Emergency Appointments Welcome!